API: workspace

Hastalıklar Baş ve sinir sistemi

İnsan sinir sistemi sayısız sinir hücresinden oluşur ve birçok görevi yerine getirir: Vücuttaki kontrol görevleri ve dış dünya ile iletişim için iletişim görevleri buna örnek olarak verilebilir. Organik nedenli sinir sistemi hastalıkları nörolojinin alanına girer. Migren gibi baş ağrısı türleri de buna dahil edilebilir.

Baş ve sinir sistemi

Uyku bozuklukları

Uyku bozuklukları çekenler, uykuları yeterince dinlendirici olmadığı için genellikle yorgun ve bitkindir. İnsanların neredeyse beşte birinde uykuya dalma veya kesintisiz uyuma sorunları vardır.

Depresyon

Depresif kişiler keyifsiz olur, olumsuz düşünür, arkadaşlarını ve ailelerini ihmal eder. Günlük yaşamları ve iş hayatları zorlaşır.

Erken yaz meningoensefaliti (FSME)

Erken yaz meningoensefaliti (FSME), kenelerden bulaşan virüslerden kaynaklanan bulaşıcı bir hastalıktır. FSME'den aşı ile korunmak mümkündür.

Multipl skleroz

Multipl skleroz (MS) genç yetişkinlerde en sık görülen nörolojik hastalıktır. MS'in henüz bir tedavisi yoktur. Bununla birlikte, çeşitli tedaviler hastalığın ilerlemesini yavaşlatmaya yardımcı olur.

Migren

Migren atağı sırasında başın sadece bir tarafında şiddetli baş ağrıları meydana gelir. Bu ağrıya bulantı ve kusma gibi başka semptomlar da eşlik edebilir.

İnme

Bir inme meydana geldiğinde, beynin bir kısmına yeterince kan ulaşamaz. Bu hayati tehlike oluşturabilir. Ciddi sonuçları önlemek için hızlı tedavi önemlidir.

Yaygın anksiyete bozukluğu

Herkes bazen korkar. Bu bir alarm durumu oluşturur ve hızlı tepki vermemizi sağlar. Ancak sürekli endişeleniyorsanız, yaygın anksiyete bozukluğunuz olabilir.

Trigeminal nevralji

Trigeminal nevraljisi olan kişilerde özellikle yanak ve çene bölgesinde şiddetli yüz ağrıları olur. Bunların nasıl oluştuğunu ve bunlara karşı neyin yardımcı olduğunu buradan öğrenebilirsiniz.

Yetişkinlerde beyin sarsıntısı

Beyin sarsıntısı, genellikle bir kazanın sonucunda meydana gelir. Travmatik beyin hasarının en basit formudur. Semptomlar ve tedavi seçenekleri hakkında bilgi edinin.

Zona hastalığı

Zona (herpes zoster) ağrılı bir viral deri hastalığıdır. Virüsler sinirlere saldırır ve cilde yayılan iltihaplanmaya neden olur.

Şizofreni

Şizofreni durumunda, algıda aşamalı bir değişiklik oluşur. Bu, örneğin sanrılar, sesler duyma veya gözetlenme duygusuyla ifade edilir.

Beyin iltihabı (ensefalit)

Ensefalit, beynin iltihaplanmasıdır. Bunun çeşitli nedenleri olabilir. Beyin iltihabının en sık nedeni virüslerdir.

Cüzzam

Cüzzam, esas olarak Güneydoğu Asya, Güney Amerika ve Afrika'da görülen bulaşıcı bir bakteriyel hastalıktır. Cüzzam tedavi edilebilir olmasına rağmen, yine de şiddetli seyredebilir.

Beyin zarı iltihabı (menenjit)

Menenjitte beyin zarları iltihaplıdır. Bunun birçok nedeni olabilir. Tetikleyiciler bakterilerse, beyin zarı iltihabı hızlıca hayatı tehdit edebilir.

Epilepsi

Epilepsi durumunda beyin veya beynin belirli bölgeleri aşırı derecede aktif olur. İlaçlar nöbetleri önleyerek böylece iyi bir yaşam kalitesini sağlayabilir.

Otizm

Otizm spektrum bozuklukları, belirli özelliklere sahip gelişimsel bozukluklardır: otizmli kişiler diğer insanlarla iletişimde ve sosyal etkileşimde sorunlar yaşar.

Vasküler demans

Vasküler demans dolaşım bozuklukları nedeniyle oluşur. Sonuç olarak beyne yetersiz oksijen sağlanır ve beyin hasar görür, bu da zihinsel yeteneklerde azalmaya yol açar.

Tetanos

Tetanos bazı bakterilerden kaynaklanır. Küçük bir yara bile patojenler için bir giriş noktası olabilir. Aşı korur.

Botulizm

Botulizm, bakteriyel botulinum nörotoksininin neden olduğu bir zehirlenmedir. Zehirlenme kaynakları hazır ve ev yapımı konservelerdir. Şüpheli durumlar hastanede değerlendirilmelidir.

İyi huylu pozisyonel vertigo

Her şey etrafınızda dönüyorsa iyi huylu pozisyonel vertigo nedeniyle olabilir. Bunun nedeni kulak denge organındaki birikintilerdir. Baş dönmesi çoğunlukla birkaç hafta sonra kendiliğinden durur.

Kuduz

Kuduz, enfekte bir hayvanın ısırmasıyla bulaşan viral bir hastalıktır. Riskli bir bölgeye seyahat eden herkes aşı olarak önlem alabilir. Her şüpheli durum bir doktor tarafından değerlendirilmelidir.

Beyin tümörü

Beyin tümörlerinin farklı türleri vardır. Farklı türler, tedavi seçenekleri ve şimdiye kadar tespit edilmiş olan risk faktörleri hakkında ayrıntılı bilgi edinin.

Parkinson hastalığı

Parkinson hastalığı sinir sistemini etkiler ve hareket kabiliyetini giderek kısıtlar.

Kronik yorgunluk sendromu

Kronik yorgunluk sendromu, dinlenme molalarına rağmen geçmeyen şiddetli yorgunluktur. Belirli bir tedavisi yoktur, ancak yardımcı olabilecek bazı önlemler vardır.

Amyotrofik lateral skleroz (ALS)

ALS durumunda, kasları kontrol eden sinir hücreleri ölür. Sonuç kas atrofisi, kas sertliği ve felçtir. Terapi, belirtileri mümkün olan en iyi şekilde hafifletmeyi amaçlamaktadır.

Strese bağlı baş ağrısı

Strese bağlı baş ağrıları, arada bir ortaya çıkan hafif, rahatsız edici baş ağrılarıdır. Reçetesiz satılan ağrı kesicilerle giderilebilirler.

Fibromiyalji

Fibromiyalji, beynin ağrıyı işleme yeteneğinin bozulduğu kronik bir ağrı hastalığıdır. Fibromiyaljili insanlara yardımcı olan şeyler kişiden kişiye büyük ölçüde değişir.

Küme tipi baş ağrısı

Küme tipi baş ağrıları evreler halinde ortaya çıkar. Çoğunlukla şakak veya göz bölgesinde güçlü, her zaman tek taraflı ağrıya yol açarlar.

Alzheimer demansı

Alzheimer demansında hafıza ve düşünme yeteneği ciddi şekilde bozulur. Demansın kesin tedavisi yoktur. Bununla birlikte, tedavi ile hastalığın seyri olumlu yönde etkilenebilir.

Polinöropati

Beyin ve omurilik dışındaki birden fazla sinirin hasar gördüğü durumlara polinöropatiler denir. Nedenleri ve şikayetler çeşitlidir.

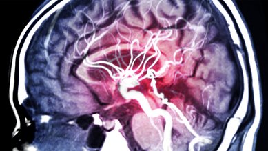
Beyin anevrizması

Beyin anevrizması, beyindeki bir arterde oluşan bir şişliktir. Genellikle fark edilmez ve bir şikayete neden olmaz. Beyin anevrizması patlarsa, ölüm tehlikesi arz eden bir beyin kanamasına neden olur.

B vitamini eksikliği

B vitamini sekiz vitaminden oluşan bir grubu içerir; en önemlileri B1, B6, B9 (folat) ve B12'dir. Dengeli beslenmeyle eksiklik oluşması önlenebilir.

Diyabetik nöropati

Diyabetik nöropati, sürekli yükselen kan şekeri seviyeleri nedeniyle sinir hasarı oluşmasıdır. Kollarda ve bacaklarda ağrı ve uyuşma tipiktir.

Çocuk felci (polio)

Çocuk felci (polio), kalıcı felce yol açabilir. Aşı kampanyaları, çocuk felcini neredeyse ortadan kaldırmıştır. Bağışıklığı olmayan yetişkinler de bu hastalığa yakalanabilir.

Huzursuz bacak sendromu

Huzursuz bacak sendromu (HBS) olan insanlar bacaklarını hareket ettirmek için güçlü bir dürtü hisseder. Bacaklardaki rahatsızlık hissi sadece dinlenirken, özellikle akşamları ve geceleri ortaya çıkar.

Yüz felci (fasiyal paraliz)

Yüz felci, sinir hasarı nedeniyle yüz kaslarında çoğunlukla tek taraflı meydana gelen felçtir. Burada nedenleri, semptomları, teşhisi ve tedavisi hakkında ayrıntılı bilgi bulabilirsiniz.

Diabetes insipidus

Diabetes insipidus, çok sık idrara çıkma ihtiyacına ve aşırı susamaya yol açar. Bunun nedeni eksik veya etkisiz bir hormondur.

Nevraljik amyotrofi

Nevraljik amyotrofi, kolda ve omuzda şiddetli ağrılara neden olur. Bunun nedeni ise bazı sinirlerin iltihaplanmasıdır.

Toksoplazmoz

Toksoplazmoza toxoplasma gondii paraziti neden olur. Bu parazit insanların üçte birinde bulunmaktadır, ancak yalnızca yüzde beşinde hastalığın belirtileri görülür.

Geçici iskemik atak (TIA)

Geçici iskemik ataklar genellikle felçlerin öncüsüdür. Geçici iskemik atakta, beynin bir kısmı yeterli seviyede kan ile beslenmez. Semptomları felç, görme veya konuşma bozukluklarıdır.